歯を抜かない矯正
抜歯をせずに歯科矯正
カウンセリングの際に、抜歯をした場合・しない場合の治療後について、詳しい説明をしています。
当院で矯正した患者様のうち、抜歯をしなかった患者様の治療前後写真を紹介します。
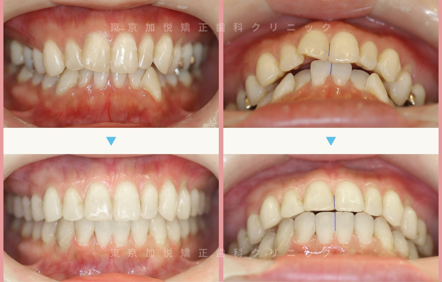
【非抜歯症例1】上の前歯だけ矯正した症例(20代女性・5ヶ月間)
-




主な矯正装置
部分矯正 舌側装置(裏側矯正)
矯正にかかった期間:5ヶ月間
治療期間が限られているため、本来1ヶ月ごとに行う矯正期間中のご来院を3週間に短縮して治療しました。初診から半年後に撮影を控えていたため、矯正が終わらなかった時にそなえて、目立たない裏側矯正で治療を行いました。
結果として、5ヶ月間で矯正が終了しました。
特筆すべきリスク
・今回、患者様のご希望により、治療箇所が上前歯のみだったため、前歯の噛み合わせに問題が残りました。
・矯正治療にともない、歯根吸収のリスクがあります。
矯正にかかった費用
初診:3,300円 精密検査:22,000円
矯正装置:495,000円、処置料:通院つど 6,600円×6回
保定期間の処置料:通院つど 1,100~5,500円
※表記は税込、すべて自費診療です
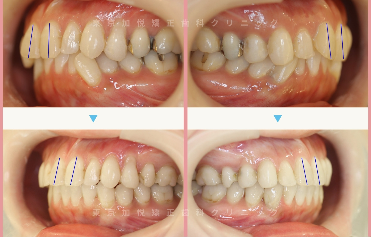
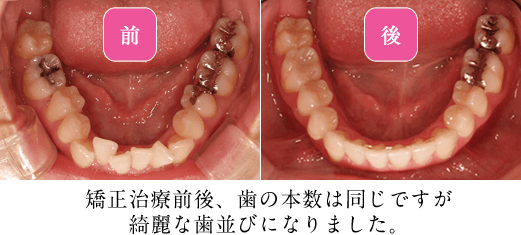
【非抜歯症例2】歯を抜かずに全顎矯正で歯列全体を調整した症例(20代女性・18ヶ月間
-




主な矯正装置
部分矯正 唇側装置(表側矯正)
矯正にかかった期間:18ヶ月間
初診時には歯のずれがあり、不正咬合も見られました。
抜歯をして矯正することも考えられましたが、全顎的な矯正で歯列全体を後方に異動させることで、歯を抜かずに矯正治療を完了しました。
歯を抜くのは歯を動かすスペースを確保するために行いますが、このように歯列全体を後方に異動して、アーチをU字に拡大することで、歯を抜かないでもスペースを十分に確保することが可能です。
特筆すべきリスク
・抜歯をした場合としない場合でリスクも異なります。今回抜歯をせずに矯正したことで、ブラックトライアングルの残存リスクを抑えられました。
・矯正治療にともない、歯根吸収のリスクがあります。
矯正にかかった費用
初診:3,300円 精密検査:44,000円
矯正装置:1,045,000円、処置料:通院つど 5,500円×18回
保定期間の処置料:通院つど 1,100~5,500円
※表記は税込、すべて自費診療です
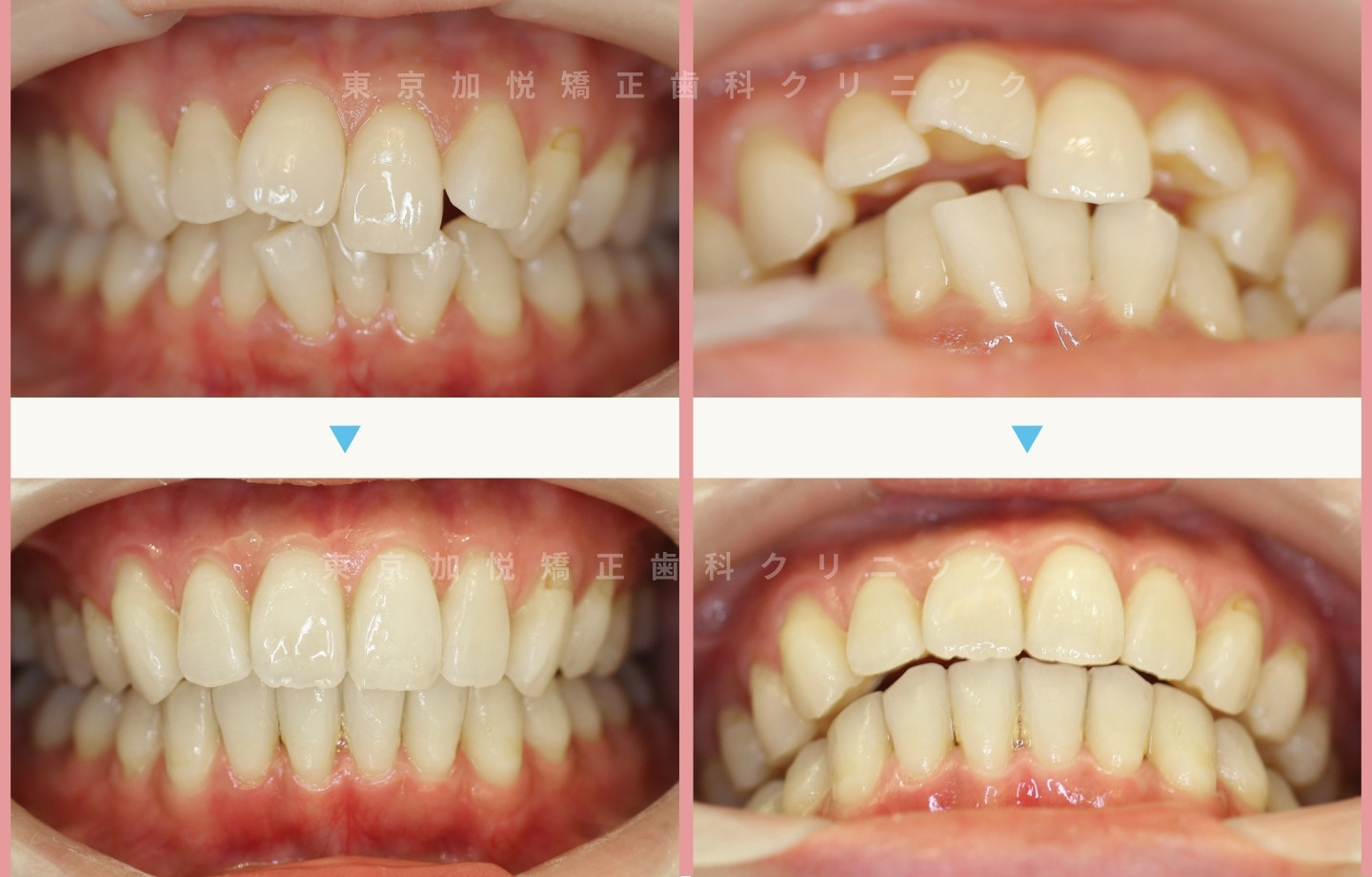
【非抜歯症例3】上下の前歯を矯正した症例(20代女性・8ヶ月間)
-




主な矯正装置
部分矯正 コンビネーション装置(目立つ上は裏側矯正、下は表側矯正)
矯正にかかった期間:8ヶ月間
他院では抜歯と言われ、当院に来られました。
当院では非抜歯で治療を行いました。
前歯が斜めでねじれもありましたが、上下前歯にコンビネーション矯正を8ヶ月間実施することで、歯列が整い、歯のねじれ・重なり合いがなくなりました。
ずれていた正中も改善されました。
特筆すべきリスク
・抜歯をした場合としない場合でリスクも異なります。今回抜歯をせずに矯正したことで、ブラックトライアングルの残存リスクを抑えられました。
・矯正治療にともない、歯根吸収のリスクがあります。
矯正にかかった費用
初診:3,300円 精密検査:22,000円
矯正装置:715,000円、処置料:通院つど 7,700円×6回
保定期間の処置料:通院つど 1,100~5,500円
※表記は税込、すべて自費診療です
歯を抜く=スペースの確保
確かに、矯正治療の歴史の中で、過去には「矯正治療=歯を抜く」と言った治療を行っていた時代もありました。
そして適応でない症例においても、歯を抜いてしまったことで、より状態が悪くなってしまったと言う事があったのも事実です。
抜歯・非抜歯の判断は、経験あるドクターのもと適切な診断が重要です。
なるべくなら歯を抜かずに治療できた方が、生体的にも良いのは確かです。
当院では、歯を抜かずに行う為の幾つかのテクニックを組み合わせることで、歯を抜かずに矯正治療をできる幅を広げています。
横方向もしくは前方に動かせる余地がある方の場合、奥歯部分がやや内側に傾いている歯を、まっすぐ立てることで、全体的なスペースを確保します。
ただし、横方向・前方向の余地を無視して拡大しすぎると、歯槽骨より歯牙がはみ出すことになります。その場合は将来的に歯肉の退縮や歯牙喪失(歯を失うこと)のリスクを高める結果になってしまいますので、専門医の診断が重要です。
歯牙表層の硬い組織「エナメル質」は1~2㎜の厚みがあります。そのうちの1/3(0.3mm~0.6mm)程を削り(ディスキング)、歯牙を動かすためのスペースを作ります。
西洋人に比べ、私たち東洋人はエナメル質に厚みがあるので、ディスキングはリスクが少なく有効な方法です。
健康な歯質を削ることに抵抗がある方も多いと思います。
確かに削らないに越したことはないのかもしませんが、エナメル質の削除量をきちんとコントロールすれば、虫歯や歯質の破切などのリスクは殆どなく、また、削ることによる利点も多くあります。
- 今まで歯を抜いていたケースでも、抜歯せずに治療できるケースが増えました。
- 一般に、歯を抜く治療を行うよりも治療期間を短縮できます。
- 矯正後の後戻り(再び歯並びがズレて悪くなること)しにくくなります。
- 歯と歯の間の隙間(ブラックトライアングル)を目立ちにくくできます。
- コンタクト面に軽度なカリエス(虫歯)があった場合、一緒に削除できます。
顎の骨の余地が充分にある方は、奥歯の位置をさらに後ろに移動する手法があります。
歯を後ろに移動するための固定として、アンカーインプラントを使います。
アンカーインプラントとは、小さな金属のネジ状のものを、アゴの骨に打ち込むことにより、骨を固定源として奥歯を動かしやすくするものです。
皆さん初めは痛そうとか怖いとか思われるようですが、埋入時に部分麻酔を行うことで痛みなく治療ができます。その後も骨の内部には神経がないため、痛みはありません。
また、違和感も矯正の装置と同じ程度なので、1週間ほどで慣れられます。